Veterinární klinika, veterina.Veterinární lékař, zvěrolékař.

  • IČ: 70932832
Adresa provozovny
Sídlo společnosti
Na Výšině 1002, 73553 Dolní Lutyně
Na Výšině 1002, 73553 Dolní Lutyně
Telefon
+420 596 530 155
Telefon
+420 596 530 155
E-mail
[email protected]
Web
www.veticea.cz

Hodnocení této firmy (0)

Tuto pobočku zatím nikdo neohodnotil

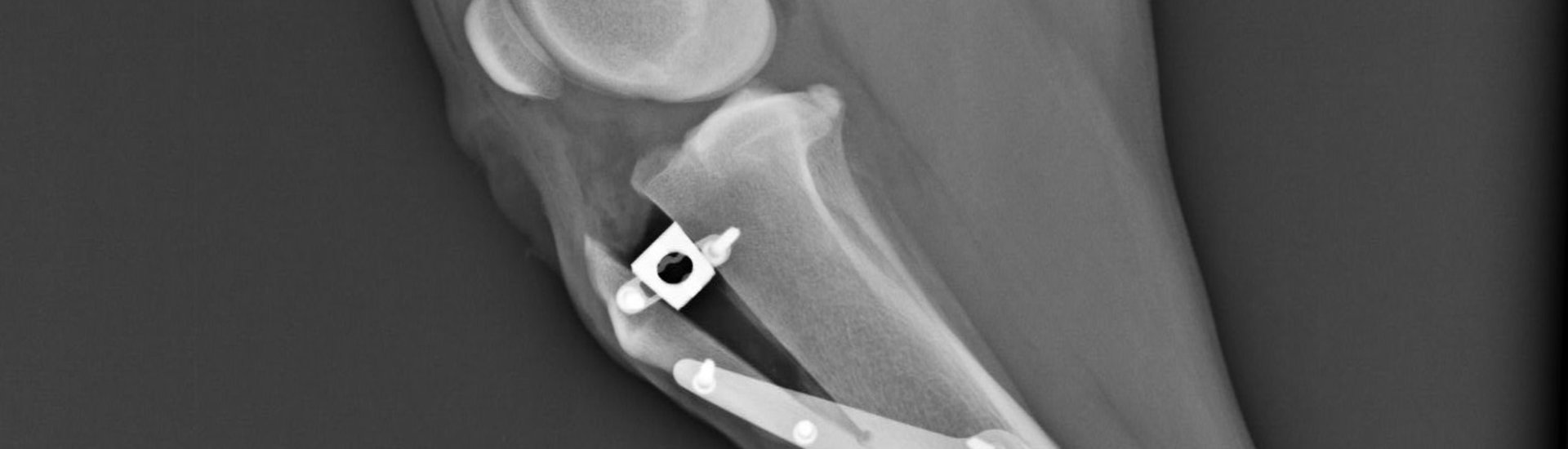
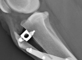
Fotografie této firmy

* Informace o této společnosti pochází z veřejně dostupných zdrojů a rejstříků a nemusí být zcela přesné.